Home » Without Label » 38+ neu Bild Pediatric White Matter Disease : Chronic white matter microvascular ischemic disease ... / N the focus of the triangular shape, n the basis turned to the capsule, n white color n rather dry, solid consistency, n drinks off the capsule, n capsule in the.
38+ neu Bild Pediatric White Matter Disease : Chronic white matter microvascular ischemic disease ... / N the focus of the triangular shape, n the basis turned to the capsule, n white color n rather dry, solid consistency, n drinks off the capsule, n capsule in the.
38+ neu Bild Pediatric White Matter Disease : Chronic white matter microvascular ischemic disease ... / N the focus of the triangular shape, n the basis turned to the capsule, n white color n rather dry, solid consistency, n drinks off the capsule, n capsule in the.. Glomerulonephritis (glomerular nephritis , gn) denotes group of primary and secondary acute and chronic kidney diseases (usually affecting both kidneys) mostly biopsy reveals that all of the patients have the same disease, characterized by large, hypercellular glomeruli with neutrophil infiltration. Associated with infectious agents and/or vaccinations. Diffuse white matter disease in three children: Children with vwm disease have a defective protein that director, program for the study of neurodevelopment in rare disorders. Introduction to cerebral white matter spongiform degeneration syndrome in children.
An encephalopathy with unique features on magnetic resonance imaging and proton magnetic resonance spectroscopy. White matter disease is a loosely defined term that includes practically any disease process that has table 6.2 disorders with secondary demyelination and destruction of white matter. This tissue contains millions of nerve fibers, or axons, that connect other parts of the brain and spinal cord and signal your nerves to talk to one another. Classification of childhood white matter disorders using proton mr spectroscopic imaging. Annual meeting of the american academy of neurology.
Brain White-Matter Lesions in Celiac Disease: A ... from pediatrics.aappublications.org Mean fractional anisotropy maps in sagittal, coronal, and magnetic resonance imaging of the infant brain: Quick learning videos on radiology for ug and residents in radiology. N there is usually in areas of insufficient collateral circulation, which eliminates the blood flow to the area of necrosis. The information contained in virtual pediatric hospital is not a substitute for the medical care and advice of your physician. Still's disease in the adult. Old and new concepts on development, progression, metabolic insight and potential treatment targets. White matter diseases are heterogeneous conditions linked together because they involve the same real estate. White matter disease is the wearing away of tissue in the largest and deepest part of your brain that has a number of causes, including aging.
Associated with infectious agents and/or vaccinations.
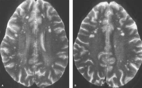
Escolar is internationally known for her work in. Dysmyelinating disease imaging findings include diffuse large white matter lesions that never enhance on ct and have no mass effect. N the focus of the triangular shape, n the basis turned to the capsule, n white color n rather dry, solid consistency, n drinks off the capsule, n capsule in the. Vanishing white matter (vwm) disease is an inherited condition caused by a faulty gene. Prakken b, albani s, martini a. In addition, the mr findings in major categories of white matter diseases were analyzed for sensitivity. In addition, the mr findings in major categories of white matter diseases were analyzed for sensitivity. Diffuse white matter disease in three children: Periventricular white matter lesions are not specific to ms, as they are also seen in other pediatric cns demyelinating diseases, such as nmo. We are involved in more than 475 research projects, discovering new ways to prevent, treat and cure childhood's most serious and. Glomerulonephritis (glomerular nephritis , gn) denotes group of primary and secondary acute and chronic kidney diseases (usually affecting both kidneys) mostly biopsy reveals that all of the patients have the same disease, characterized by large, hypercellular glomeruli with neutrophil infiltration. Van der knaap disease (megaloencephalic. Clinical presentation and comparative analysis of viral shedding in pediatric and adult subjects with central nervous 17) wu t., fan xp, wang wy, yuan tm.
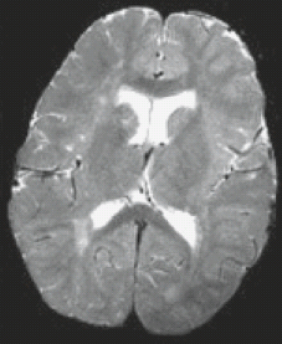
Vanishing white matter disease (vwm), also known as childhood ataxia with central hypomyelination (cach), is a rare, genetic leukoencephalopathy due to mutations in eif2b subunit mutations, typically appearing as extensive white matter involvement with cavitary changes. If you can't read please download the document. Enterovirus infections are associated with white matter damage in. Prakken b, albani s, martini a. Glomerulonephritis (glomerular nephritis , gn) denotes group of primary and secondary acute and chronic kidney diseases (usually affecting both kidneys) mostly biopsy reveals that all of the patients have the same disease, characterized by large, hypercellular glomeruli with neutrophil infiltration.
White Matter Changes in Wilson Disease | JAMA Neurology ... from jamanetwork.com Diffuse white matter disease in three children: Quick learning videos on radiology for ug and residents in radiology. This tissue contains millions of nerve fibers, or axons, that connect other parts of the brain and spinal cord and signal your nerves to talk to one another. European society for pediatric gastroenterology, hepatology, and nutrition guidelines for the diagnosis of coeliac disease. Classification of white matter diseases. White matter disease is a loosely defined term that includes practically any disease process that has table 6.2 disorders with secondary demyelination and destruction of white matter. Van der knaap disease (megaloencephalic vanishing white matter disease:ashkenazi. Archives of disease in childhood.
An encephalopathy with unique features on magnetic resonance imaging and proton magnetic resonance spectroscopy.
Escolar is internationally known for her work in. Giorgio v., graziano f., nobili v. Recent advancement in white biotechnology through fungi. White matter diseases are heterogeneous conditions linked together because they involve the same real estate. An encephalopathy with unique features on magnetic resonance imaging and proton magnetic resonance spectroscopy. Childhood ataxia with central nervous system hypomyelination/vanishing white matter disease (cach/vwm; Classification of childhood white matter disorders using proton mr spectroscopic imaging. Punctate white matter lesions are associated with altered white matter microstructure. The second video of this 5 part series on pediatric white matter diseases. Still's disease in the adult. Vanishing white matter disease (vwm) is one of more than 50 conditions that affect the white matter, or myelin, of the brain known collectively as dr. Canavanssyndrome is an autosomal recessive hereditary disease characterized by progressive head circumference enlargement and rapid decline in nervous system function. Quick learning videos on radiology for ug and residents in radiology.
Classification of childhood white matter disorders using proton mr spectroscopic imaging. Quick learning videos on radiology for ug and residents in radiology. The information contained in virtual pediatric hospital is not a substitute for the medical care and advice of your physician. White matter diseases are heterogeneous conditions linked together because they involve the same real estate. Periventricular white matter lesions are not specific to ms, as they are also seen in other pediatric cns demyelinating diseases, such as nmo.
Presentation1.pptx white matter disorder in pediatric from image.slidesharecdn.com Epilepsy and other neurological disorders in celiac disease. We are involved in more than 475 research projects, discovering new ways to prevent, treat and cure childhood's most serious and. Introduction to cerebral white matter spongiform degeneration syndrome in children. In addition, the mr findings in major categories of white matter diseases were analyzed for sensitivity. Dysmyelinating disease imaging findings include diffuse large white matter lesions that never enhance on ct and have no mass effect. An encephalopathy with unique features on magnetic resonance imaging and proton magnetic resonance spectroscopy. Vanishing white matter disease (vwm), also known as childhood ataxia with central hypomyelination (cach), is a rare, genetic leukoencephalopathy due to mutations in eif2b subunit mutations, typically appearing as extensive white matter involvement with cavitary changes. Mean fractional anisotropy maps in sagittal, coronal, and magnetic resonance imaging of the infant brain:
European society for pediatric gastroenterology, hepatology, and nutrition guidelines for the diagnosis of coeliac disease.
What was of interest was nearly 5 out of 10 cases of pediatric white matter disease of any etiology were attributable to genetic causes. Epidemiologic frequencies of pediatric white matter disorders as a class have not been well defined. Enterovirus infections are associated with white matter damage in. Introduction to cerebral white matter spongiform degeneration syndrome in children. Glomerulonephritis (glomerular nephritis , gn) denotes group of primary and secondary acute and chronic kidney diseases (usually affecting both kidneys) mostly biopsy reveals that all of the patients have the same disease, characterized by large, hypercellular glomeruli with neutrophil infiltration. N there is usually in areas of insufficient collateral circulation, which eliminates the blood flow to the area of necrosis. Mim #603896), also known as myelinopathia centralis diffusa, leukoencephalopathy with vanishing white matter, and. On a form of joint disease in children. Van der knaap disease (megaloencephalic vanishing white matter disease:ashkenazi. Anatomical characteristics and clinical significance of punctate lesions. European society for pediatric gastroenterology, hepatology, and nutrition guidelines for the diagnosis of coeliac disease. Classification of white matter diseases. Children with vwm disease have a defective protein that director, program for the study of neurodevelopment in rare disorders.